Onde função e estética caminham juntas para resultados estáveis e longevos.
Viva a experiência de um novo padrão em saúde bucal.


O processo de identificar as causas dos problemas bucais é um dos pilares do nosso trabalho. Se soubermos a causa, nossos tratamentos serão mais direcionados e assertivos.
Cada paciente tem sua história e suas experiências. Um ambiente acolhedor que faça você se sentir confiante é fundamental para que possamos desenvolver um tratamento personalizado às suas necessidades.
Cada caso é ÚNICO. Alinhar diagnóstico assertivo e as necessidades de cada paciente nos permite um tratamento totalmente individualizado e personalizado.
Sou formada pela Universidade Federal de Alfenas. Mestre em Estomatologia pela Unicamp. Doutora em Oncologia pela Fundação Antônio Prudente, e diversos cursos na área de Reabilitação Oral (resinas, cerâmicas, planejamento e oclusão) em instituições renomadas do Brasil.
Tenho mais de 20 anos de experiência, sendo o tratamento integral e humanizado o meu principal foco. Devolver estética e função, com tratamentos individualizados, de forma integrada, com resultados estéticos e duradouros.
Também compartilho minha experiência com colegas no ensino da Oclusão, em cursos e congressos no Brasil e no exterior. O ensino é uma paixão, e em parceria com empresas renomadas do setor Odontológico, na função de KOL (Key Opinion Leader) tenho a oportunidade de unir inovação, ensino e tecnologia na formação de outros colegas e no desenvolvimento de novos equipamentos.



O uso de softwares, fresadoras e impressoras 3D na Odontologia tem sido cada vez maior. Neste sentido temos incorporado cada vez mais estes recursos para melhorar os tratamentos que oferecemos aos nossos pacientes.













O escaneamento intraoral vem para substituir as moldagens tradicionais, mas abre um leque de possibilidades na comunicação, diagnóstico, planejamento e execução dos tratamentos.

Com o escaneamento facial o paciente é transferido 3D para o virtual possibilitando avaliações mais precisas e reais. Associando a captura de movimentos reais, avaliamos nosso paciente em 4D observando em tempo real como o sistema está funcionando.

O fluxo chairside printing nos traz a possibilidade de confeccionarmos modelos, placas de bruxismo, guias cirúrgicas, provisórios, de forma rápida e precisa.

O OccluSense® nos possibilita uma avaliação detalhada da dinâmica da mordida em tempo real.

Softwares associados à IA têm nos auxiliado cada vez mais a visualizar e planejar tratamentos de forma muito precisa. Podemos avaliar o paciente 4D: tridimensionalmente e com movimentos unindo escaneamento intraoral, facial, tomografia e movimentos, e a partir daí realizar o diagnóstico e o planejamento.

Este equipamento possibilita uma outra experiência na profilaxia. Uma tecnologia suíça, desenvolvida para entregar conforto e eficiência, e um protocolo preventivo único. Trabalhamos com água aquecida, fluxo laminar do jato, pó extremamente fino e ultrassom elétrico – todos estes recursos fazem com que a experiência de uma simples profilaxia seja algo nunca antes experenciado, você nem sente que está fazendo uma limpeza. É realmente um ponto de virada na área da prevenção.
Nosso espaço e modelo de trabalho foram pensados para acolher e personalizar os tratamentos oferecidos, otimizando seu tempo e proporcionando uma experiência diferenciada.
A tecnologia é uma grande aliada, proporcionando conforto, assertividade e economia de tempo. Trabalhamos com um fluxo 100% digital.
Estacionamento gratuito para os pacientes, fácil acesso por diferentes vias, tudo pensado para o seu melhor conforto.
Para entregar um tratamento de excelência, conto com uma equipe de profissionais especializados em diferentes áreas da Odontologia, que veem até você para entregar no conforto do nosso espaço tratamento integrado e diferenciado.

Coordenadora da Ebeling Odontologia. Reabilitadora oral e responsável pela condução e integração de todos os casos.

Ortodontista, especialista pela USP, Invisalign doctor, responsável por todos os tratamentos ortodônticos.

Endondontista, mestre e doutora pela USP, professora de especialização da UNICID, responsável pelos tratamentos de canal e cirurgias paraendodônticas.

Implantodontista, especialista pela UNIFAL e mestre pela São Leopoldo Mandic, responsável pelas cirurgias de levantamento de seio, enxertos e implantes.

Periodontista, mestre e doutora pela UERJ, responsável pelas cirurgias gengivais e de recontorno estético.
“Nosso pilar de diferenciação”
O que é: é uma análise funcional completa que avalia queixas clínicas, alterações locais e sistêmicas, exame clínico e exames específicos para o entendimento de onde estão as causas dos problemas apresentados.
Pra quem é: todos os nossos pacientes passam por esta avaliação. Diagnóstico é nosso norteador para definir tratamento. “Se não sei a causa, como posso tratar corretamente?”
Para o que serve: melhorar o entendimento de como o sistema está funcionando, e qual o tratamento mais adequado para cada caso, a fim de reestabelecermos equilíbrio e longevidade. Avaliamos saúde articular, muscular e dentária.
Por que nunca ouvi falar disto: poucos colegas fazem esta análise porque exige conhecimento e uma mudança na metodologia tradicional de trabalho, focada primeiro em entender a causa para depois tratar a sequela.
Prevenção: esta análise identifica precocemente problemas que podem evoluir para condições mais graves, e a partir daí podemos desenhar estratégias para evitar danos.
Incluso na consulta inicial: esta avaliação completa e integrada faz parte do nosso protocolo de primeira consulta.

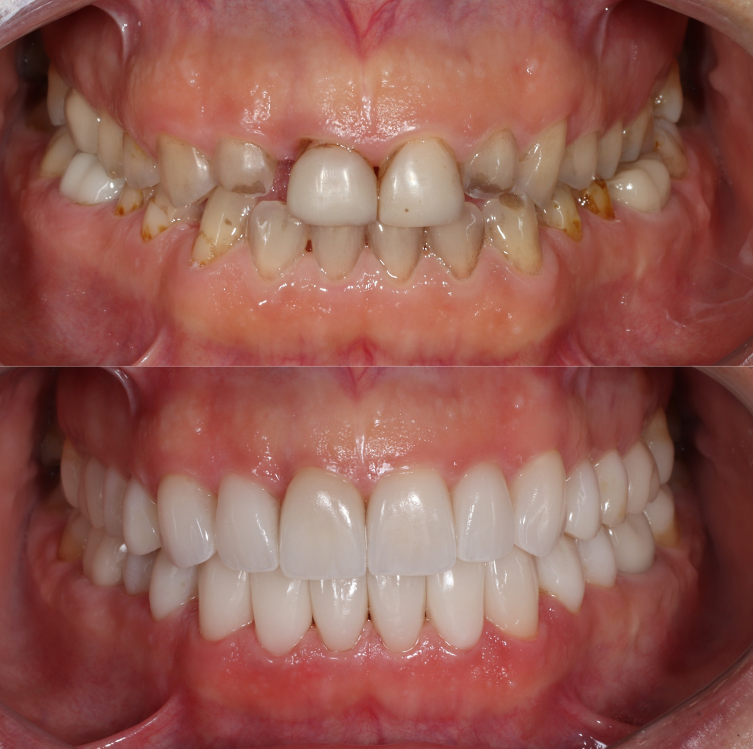
O que é: é um processo para recuperarmos função e estética, trazendo equilíbrio para o sistema.
Por que é tão importante: o reestabelecimento das funções em equilíbrio impacta diretamente na qualidade de vida, saúde geral e estética do sorriso.
Como é feito: o primeiro passo é diagnóstico, entender como o sistema chegou naquele ponto (dores de cabeça, dores musculares, sensibilidade dentária, trincas, fraturas, perdas dentárias, perda óssea, dentes apinhados, retrações gengivais). Feito o diagnóstico, vamos fazer um planejamento e materializar em um projeto para que o paciente possa entender o que será feito e qual o resultado queremos alcançar. E só depois deste projeto é que iniciamos o tratamento, que pode incluir ortodontia, enxertos e implantes, próteses e restaurações. Cada caso tem o seu planejamento.
Quanto tempo demora: depende da complexidade do caso e da disponibilidade do paciente para consultas, mas em média pode variar de 6 a 18 meses.
Quanto custa: o custo também está atrelado às necessidades que cada caso exige.

Qual o objetivo do tratamento ortodôntico: a movimentação dos dentes busca primeiro uma correta relação funcional entre os dentes e como resultado desta harmonia a estética.
Invisalign e alinhadores: os alinhadores são as ferramentas mais modernas que temos, onde o planejamento é feito em softwares auxiliados por IA e uma placa faz a movimentação dos dentes. É um excelente recurso que facilita a higiene e oferece conforto e estética. Mas como qualquer ferramenta, em algumas fases do tratamento ou em alguns casos, ainda apresentam limitações para alcançarmos o resultado ideal.
Aparelho fixo nunca mais? Os alinhadores trouxeram muitas vantagens e sempre que possível vamos usar este recurso que é muito mais confortável e prático. Mas em alguns casos e etapas ainda precisamos lançar mão dos brackts para atingir resultados mais precisos.
Restaurações ao final do tratamento: em dentes que sofreram desgastes e perderam a anatomia inicial, ou restaurações deficientes na anatomia, ao final do tratamento ajustes para garantir função são importantes para termos estabilidade e estética duradouras.

Por que trocar restaurações sem cárie? A Odontologia tem evoluído muito, e materiais que possuem adesão química ao dente restauram melhor a estrutura do dente. Isto é importante em restaurações amplas e principalmente em pacientes com apertamento dentário para evitar fraturas.
Importância da anatomia dental: uma restauração precisa literalmente restaurar a estrutura que foi perdida, e isto envolve não só fechar a cavidade, mas reconectar esta estrutura pela adesão e recuperar a anatomia. A correta anatomia é responsável por função de estabilidade e longevidade do sistema.
Isolamento absoluto: um passo indispensável para alcançar restaurações de excelência. Os materiais adesivos como resinas e cimentos requerem campo totalmente seco para serem eficientes. Além disto, a remoção de amálgamas antigos e proteção do paciente para não termos nenhum acidente por aspiração, são motivos que tornam a técnica indispensável e um diferencial para restaurações e próteses de alta qualidade.
O que é: “mais do que uma limpeza”. É a consulta onde o dentista vai entender o momento de vida do paciente e adequar as orientações de cuidado com a saúde bucal para prevenir o aparecimento ou a evolução de doenças.
Como é: nesta consulta o dentista vai atualizar informações sobre hábitos, medicações, tratamentos em curso, sintomas novos, realizar uma avaliação clínica e avaliar o risco de desenvolver problemas futuros. Aqui avaliamos sobrecarga oclusal, alteração na qualidade da saliva, higiene bucal, cáries iniciais, sangramento gengival, e adequamos os cuidados como – indicação de placa oclusal, avaliação de refluxo gastroesofágico, troca de creme dental e produtos de higiene bucal, revisão de técnica de escovação. E por fim, realizamos a profilaxia dentro do protocolo de terapia guiada.
Protocolo GBT, o que é: é um protocolo de prevenção com terapia guiada, com pilares na educação visual do paciente, profilaxia com alta ciência e tecnologia, proporcionando conforto e instrumentação guiada para a necessidade de cada paciente, e uma manutenção da higiene bucal mais longeva.
Qual a frequência: os retornos para manutenções preventivas são individualizados. Avaliamos risco, cooperação do paciente, eficiência dos cuidados em casa e então estabelecemos um programa de cuidado personalizado, o qual é revisto periodicamente.
Fale Conosco